
Thursday, May 10, 2018 by Zoey Sky
http://www.naturalpedia.com/mesothelioma-causes-side-effects-and-treatments-at-naturalpedia-com.html
Mesothelioma refers to a rare form of cancer that often develops in the cells that line the sacs of the chest or the abdomen.
Pleural mesothelioma is the most common form of this cancer and its side effects often manifest in the patient’s chest area. Meanwhile, peritoneal mesothelioma is rarer, with the side effects affecting the organs in the abdomen.
The rarest form of mesothelioma is pericardial mesothelioma and it affects the sac around the heart.
Patients with malignant mesothelioma often have jobs where they are exposed to asbestos. Other patients are exposed to asbestos in their homes.
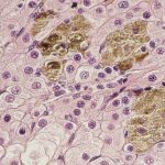
Mesothelioma has two major cell types: Epithelial and sarcomatoid. In some cases, both cell types may be present. While the sarcomatoid type is rarer and occurs in only at least 15 percent of cases, it is linked to poorer prognosis.
Mesothelioma can, very rarely, develop from benign (or non-malignant) cells. This benign mesothelioma can be surgically treated.

It usually takes about 30 years before signs of mesothelioma manifest in patients who have been exposed to asbestos.
Individuals are often diagnosed after the disease has already advanced and the outcome depends on how early the malignancy is detected. The signs and side effects of mesothelioma can vary depending on where the cancer is located in the body.
The symptoms of pleural mesothelioma usually include:
The symptoms of peritoneal mesothelioma can include:
The side effects of pericardial mesothelioma usually include:
Risk factors for mesothelioma may include:
Malignant mesothelioma is an aggressive cancer that may spread to other body parts. Patients with pleural mesothelioma can have trouble breathing and they may experience chest pain.
Other complications caused by mesothelioma include strokes and heart and lung problems. Patients with malignant mesothelioma who do not receive immediate treatment can also die.
The following foods or nutrients can help prevent mesothelioma and improve breathing:
Patients with malignant mesothelioma have three options when it comes to treatment. Two or three of the options are usually combined during the course of treatment:
Mesothelioma refers to a rare form of cancer that often develops in the cells that line the sacs of the chest or the abdomen. The rarest form of mesothelioma is pericardial mesothelioma.
The side effects of pleural mesothelioma usually include exhaustion, fever, and lower back pain.
Apples, chili peppers, cruciferous vegetables, garlic and onions, ginger, pomegranates, and turmeric can help prevent mesothelioma.
Patients with malignant mesothelioma have three options for treatment: Chemotherapy, radiation therapy, and surgery.
Sources include
Tagged Under: Tags: mesothelioma